Dentistry has evolved significantly over the past two decades. We are now able to use advances in 3D imaging, Computer Aided Design and Manufacturing (CAD/CAM), and prosthetic materials to create dental restorations that are both beautiful and last much longer than restorations of the past. These advancements also allow us to preserve more tooth structure, reducing discomfort and sensitivity.
At Pioneer Valley Dental, you will be treated by a team that is committed to your overall comfort and care. After the tooth or teeth are prepared for the appropriate restoration(s), a digital 3D impression will be taken of the area and sent to our lab where we will supervise the design and fabrication of your restoration(s). A temporary restoration will be placed and then you will return for the cementation of the final restoration(s), usually within 14-21 days. At that appointment, the restoration(s) will be tried in and verified to make sure everything looks beautiful and fits properly. With the proper care of your teeth at home and our all-important routine cleanings and examinations, your restorations will be covered by a 5-year warranty!
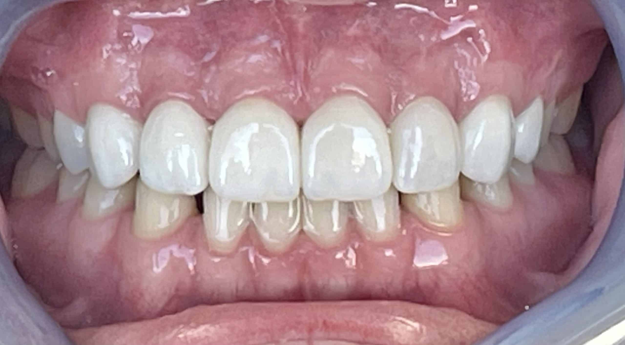
A dental veneer is a thin shell made of porcelain that is custom-designed to cover the front surface of a tooth. Veneers are primarily used for cosmetic purposes, improving the appearance of teeth that are discolored, chipped, misaligned, or irregularly shaped. They are bonded directly to the tooth with a strong adhesive, creating a natural-looking and durable enhancement to your smile.
A dental crown is a cap that covers the entire visible portion of a damaged or weakened tooth. They restore the tooth’s shape, size, strength, and appearance, while also providing protection against further damage. Crowns are often used after a root canal treatment, to repair large cavities, or to restore a fractured tooth.
A dental bridge is a restoration used to replace one or more missing teeth. It consists of artificial teeth (pontics) anchored in place by crowns or attachments to the natural teeth or dental implants on either side of the gap. Bridges not only restore the function of missing teeth for chewing and speaking but also prevent the shifting of adjacent teeth and help maintain facial structure.
EXCELLENT Based on 1012 reviews Posted on Susan MooreOctober 21, 2024Trustindex verifies that the original source of the review is Google. I cannot say enough nice things about this place. I am from Georgia, but I am in Utah for work. Last night I broke my tooth that I had a filling in and I called Pioneer Valley dental first thing this morning. They were able to get me in at 8:30 AM and get another filling put in my tooth. I had an infection in my tooth and if I hadn’t gone, I would’ve probably been in a lot of pain. Luckily all I need are antibiotics and ibuprofen and a trip to see my dentist when I get home. Dr. Austin.Steffenson and the other staff were amazing. I highly recommend them.Posted on Laura NixonSeptember 17, 2024Trustindex verifies that the original source of the review is Google. I just left my regular 6 month dental cleaning appointment and am so happy!! Where do I even start? Our family has been going to Pioneer Valley Dental and seeing Dr. Smith since 1994! We left after 11 years because we moved further south. Later I returned when I needed a third opinion and Dr. Smith saved a tooth that others thought should be removed. I’ve been there ever since and I seriously CANNOT think of any one thing they could do to improve this business!!!! From cleanings to crowns to implants. They do amazing work!! From the moment I walk in and walk out it’s professional, peaceful, caring, helpful, fun, friendly, uplifting and down right gorgeous. I wish that every service oriented business could be this perfect!! Since 1994 I have NEVER had ANY complaint about this office and our children loved going here!! NO COMPLAINTS EVER!!….about anyone or any thing! You name it - courtesy, expertise, financially helpful, gentle, top notch dental work, listening ear, trustworthy, knowledgeable office staff…I can’t say enough good about this 10 star incredible dental office!! I do not know how they have been so consistently amazing for so many years! And on top of all this amazing professionalism I walk out with my dental goody bag and a treat coupon of my choice for keeping my appointment. That's a free lunch for me. If I could give them a 10 star rating I would!!! I am so grateful to all of them, for all they have done, for me and my family, for 30 years!Posted on Taitem PetersenAugust 29, 2024Trustindex verifies that the original source of the review is Google. Omgoodness the best office i’ve been too! The receptionists are so kind! The hygienist Rachel and the assistant Kenia were so communicative and helpful! Dr. B is so nice and creates such a great environment for everyone involved! Highly recommend!Posted on Elizabeth SernaAugust 5, 2024Trustindex verifies that the original source of the review is Google. Dr. Brodbent is literally the best! No one goes near my mouth but him! He takes care of my son as well and my son loves him! He's 3 and he let Dr. Brodbent count all his teeth! Very family friendly atmosphere! I got a root canal done and all 4 roots were curved and it was a long process but I had the best doctor there to help me the process! 100% recommend! Love this place 110%!Posted on GAugust 1, 2024Trustindex verifies that the original source of the review is Google. I had such a wonderful time at my appointment! Everyone was so friendly and personable, I loved talking with Addi and Karinna was bubbly, happy and professional. I live in Davis county, but I make the drive because of the staff and the care, and the work they do. I really do have the best dental office around!Posted on Cristina BedoyJuly 22, 2024Trustindex verifies that the original source of the review is Google. Pioneer Dental in west valley is the best dental experience l've ever had. I hadn't been to the dentist in many years because l've had a phobia, however everyone in that office was incredibly sweet and supportive . Definitely staying with this dental office and 100% recommend it to my friends And family .Posted on flo GonzalezJuly 1, 2024Trustindex verifies that the original source of the review is Google. if you’re looking for a dentist in Utah- you should definitely check out Dr. Steffensen at Pioneer Valley Dental in West Valley. Amazing staff and Dr. Steffense🦷 was so great with my kids, my daughter cannot wipe away her smile, she had the best time. They did a great job working with my son who has dyslexia and making sure he didn’t swallow water. I was so impressed with their care!Posted on Darrin McCoy CurtisJune 11, 2024Trustindex verifies that the original source of the review is Google. This is THE PLACE to get dental work, I've had nothing but good experiences with every Dentist, assistant, hygienist and receptionist. I'll be a customer for life! Thank you Pioneer Valley!!!Posted on Dyllan EspinosaJune 5, 2024Trustindex verifies that the original source of the review is Google. Great place to go Kenia, and Dr. Broadbent.Posted on Rachel IronsJune 4, 2024Trustindex verifies that the original source of the review is Google. I love Pioneer valley dental, this office has and will always be an excellent yet local choice for your dental health needs and care. I’m so comfortable here, everyone is so friendly and welcoming. Highly recommend Dr. Blackhurst he is a wonderful Dentist. Very professional and skilled. Tremendously thorough and informative about the procedure top to bottom, so there’s no surprises. Very calming and reassuring to any nervous patients (like myself). Again thanks to Dr. Blackhurst, Tiana and the rest of the team! Can’t wait for my next visit!